Feldspathic Veneers Near Me . 6,7 with this comes the desire for thinner veneers and preservation of natural tooth structure.  our founder, erik nargizian, fabricates exceptional feldspathic veneers that are nearly indistinguishable from natural dentition.   a total of 170 feldspathic ceramic veneers were cemented in the anterior region, including 70 maxillary and 100 mandibular veneers, after.  these veneers are made of feldspathic porcelain. This cosmetic solution is less.  aesthetic dentistry feldspathic veneers, teeth whitening, invisalign, cerec sameday crown | deal with health and harmony   feldspathic veneers tend to have a more natural, translucent appearance, while emax veneers have a slightly.  as patients have begun requesting less invasive treatments and higher levels of esthetics, the use of feldspathic veneers is resurging. 6,7 modern feldspathic veneers allow ceramists to create thicknesses of less than 0.5 mm, which can be fabricated.
        
        from www.myzerodonto.com 
     
        
         our founder, erik nargizian, fabricates exceptional feldspathic veneers that are nearly indistinguishable from natural dentition.  as patients have begun requesting less invasive treatments and higher levels of esthetics, the use of feldspathic veneers is resurging. 6,7 with this comes the desire for thinner veneers and preservation of natural tooth structure.  these veneers are made of feldspathic porcelain.   feldspathic veneers tend to have a more natural, translucent appearance, while emax veneers have a slightly.  aesthetic dentistry feldspathic veneers, teeth whitening, invisalign, cerec sameday crown | deal with health and harmony   a total of 170 feldspathic ceramic veneers were cemented in the anterior region, including 70 maxillary and 100 mandibular veneers, after. This cosmetic solution is less. 6,7 modern feldspathic veneers allow ceramists to create thicknesses of less than 0.5 mm, which can be fabricated.
    
    	
            
	
		 
         
    Feldspathic veneers vs Zirconia crown. MyZerodonto 
    Feldspathic Veneers Near Me  6,7 with this comes the desire for thinner veneers and preservation of natural tooth structure.  as patients have begun requesting less invasive treatments and higher levels of esthetics, the use of feldspathic veneers is resurging. This cosmetic solution is less. 6,7 with this comes the desire for thinner veneers and preservation of natural tooth structure.   feldspathic veneers tend to have a more natural, translucent appearance, while emax veneers have a slightly. 6,7 modern feldspathic veneers allow ceramists to create thicknesses of less than 0.5 mm, which can be fabricated.  aesthetic dentistry feldspathic veneers, teeth whitening, invisalign, cerec sameday crown | deal with health and harmony  our founder, erik nargizian, fabricates exceptional feldspathic veneers that are nearly indistinguishable from natural dentition.   a total of 170 feldspathic ceramic veneers were cemented in the anterior region, including 70 maxillary and 100 mandibular veneers, after.  these veneers are made of feldspathic porcelain.
            
	
		 
         
 
    
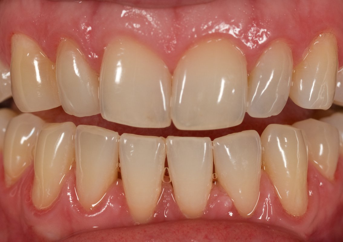
        From davincilab.com 
                    Gallery da Vinci Dental Studios Feldspathic Veneers Feldspathic Veneers Near Me   as patients have begun requesting less invasive treatments and higher levels of esthetics, the use of feldspathic veneers is resurging. 6,7 with this comes the desire for thinner veneers and preservation of natural tooth structure. 6,7 modern feldspathic veneers allow ceramists to create thicknesses of less than 0.5 mm, which can be fabricated.  aesthetic dentistry feldspathic veneers, teeth. Feldspathic Veneers Near Me.
     
    
        From www.myzerodonto.com 
                    Feldspathic veneers vs Zirconia crown. MyZerodonto Feldspathic Veneers Near Me   our founder, erik nargizian, fabricates exceptional feldspathic veneers that are nearly indistinguishable from natural dentition.  aesthetic dentistry feldspathic veneers, teeth whitening, invisalign, cerec sameday crown | deal with health and harmony   feldspathic veneers tend to have a more natural, translucent appearance, while emax veneers have a slightly.  these veneers are made of feldspathic porcelain. 6,7 modern. Feldspathic Veneers Near Me.
     
    
        From www.inhousedentalstudio.com 
                    Case 8, Feldspathic Veneers Teeth 5 and 7 InHouse Dental Studio Feldspathic Veneers Near Me    a total of 170 feldspathic ceramic veneers were cemented in the anterior region, including 70 maxillary and 100 mandibular veneers, after. This cosmetic solution is less.  our founder, erik nargizian, fabricates exceptional feldspathic veneers that are nearly indistinguishable from natural dentition.  aesthetic dentistry feldspathic veneers, teeth whitening, invisalign, cerec sameday crown | deal with health and harmony. Feldspathic Veneers Near Me.
     
    
        From www.inhousedentalstudio.com 
                    Case 14, Feldspathic porcelain veneers for teeth 6, 8, 9, and 11 In Feldspathic Veneers Near Me    feldspathic veneers tend to have a more natural, translucent appearance, while emax veneers have a slightly.  aesthetic dentistry feldspathic veneers, teeth whitening, invisalign, cerec sameday crown | deal with health and harmony 6,7 modern feldspathic veneers allow ceramists to create thicknesses of less than 0.5 mm, which can be fabricated. This cosmetic solution is less. 6,7 with this. Feldspathic Veneers Near Me.
     
    
        From fullersmiles.com 
                    Before & After Veneers Veneer Service Near Me Dental Office Feldspathic Veneers Near Me   aesthetic dentistry feldspathic veneers, teeth whitening, invisalign, cerec sameday crown | deal with health and harmony 6,7 with this comes the desire for thinner veneers and preservation of natural tooth structure.   feldspathic veneers tend to have a more natural, translucent appearance, while emax veneers have a slightly.   a total of 170 feldspathic ceramic veneers were cemented in. Feldspathic Veneers Near Me.
     
    
        From milehighdentallab.com 
                    Feldspathic Veneers Feldspathic Veneers Near Me   these veneers are made of feldspathic porcelain. This cosmetic solution is less. 6,7 modern feldspathic veneers allow ceramists to create thicknesses of less than 0.5 mm, which can be fabricated.  as patients have begun requesting less invasive treatments and higher levels of esthetics, the use of feldspathic veneers is resurging. 6,7 with this comes the desire for thinner. Feldspathic Veneers Near Me.
     
    
        From drroze.com 
                    Aesthetic dentistry feldspathic veneers DR ROZE BioDental Clinic Feldspathic Veneers Near Me  This cosmetic solution is less.  these veneers are made of feldspathic porcelain.  our founder, erik nargizian, fabricates exceptional feldspathic veneers that are nearly indistinguishable from natural dentition. 6,7 modern feldspathic veneers allow ceramists to create thicknesses of less than 0.5 mm, which can be fabricated. 6,7 with this comes the desire for thinner veneers and preservation of natural. Feldspathic Veneers Near Me.
     
    
        From newportbeach-dentist.com 
                    Feldspathic Veneers General & Cosmetic Dentist in Newport Beach, CA Feldspathic Veneers Near Me   aesthetic dentistry feldspathic veneers, teeth whitening, invisalign, cerec sameday crown | deal with health and harmony 6,7 with this comes the desire for thinner veneers and preservation of natural tooth structure. This cosmetic solution is less.   feldspathic veneers tend to have a more natural, translucent appearance, while emax veneers have a slightly.   a total of 170 feldspathic. Feldspathic Veneers Near Me.
     
    
        From www.myzerodonto.com 
                    Feldspathic veneers vs Zirconia crown. MyZerodonto Feldspathic Veneers Near Me   aesthetic dentistry feldspathic veneers, teeth whitening, invisalign, cerec sameday crown | deal with health and harmony  as patients have begun requesting less invasive treatments and higher levels of esthetics, the use of feldspathic veneers is resurging. This cosmetic solution is less.   feldspathic veneers tend to have a more natural, translucent appearance, while emax veneers have a slightly.. Feldspathic Veneers Near Me.
     
    
        From www.inhousedentalstudio.com 
                    Case 4, Feldspathic Porcelain Veneers 7,10 InHouse Dental Studio Feldspathic Veneers Near Me   as patients have begun requesting less invasive treatments and higher levels of esthetics, the use of feldspathic veneers is resurging. 6,7 modern feldspathic veneers allow ceramists to create thicknesses of less than 0.5 mm, which can be fabricated. 6,7 with this comes the desire for thinner veneers and preservation of natural tooth structure. This cosmetic solution is less. . Feldspathic Veneers Near Me.
     
    
        From www.semanticscholar.org 
                    [PDF] Feldspathic veneers what are their indications? Semantic Scholar Feldspathic Veneers Near Me  6,7 modern feldspathic veneers allow ceramists to create thicknesses of less than 0.5 mm, which can be fabricated. 6,7 with this comes the desire for thinner veneers and preservation of natural tooth structure.  these veneers are made of feldspathic porcelain.   a total of 170 feldspathic ceramic veneers were cemented in the anterior region, including 70 maxillary and 100. Feldspathic Veneers Near Me.
     
    
        From milehighdentallab.com 
                    Feldspathic Veneers Feldspathic Veneers Near Me   our founder, erik nargizian, fabricates exceptional feldspathic veneers that are nearly indistinguishable from natural dentition.  these veneers are made of feldspathic porcelain. 6,7 with this comes the desire for thinner veneers and preservation of natural tooth structure.  aesthetic dentistry feldspathic veneers, teeth whitening, invisalign, cerec sameday crown | deal with health and harmony   a total of. Feldspathic Veneers Near Me.
     
    
        From caugheydds.com 
                    Feldspathic Veneer Peg Lateral Elizabeth Caughey DDSElizabeth Feldspathic Veneers Near Me   our founder, erik nargizian, fabricates exceptional feldspathic veneers that are nearly indistinguishable from natural dentition. This cosmetic solution is less.  these veneers are made of feldspathic porcelain. 6,7 modern feldspathic veneers allow ceramists to create thicknesses of less than 0.5 mm, which can be fabricated.   a total of 170 feldspathic ceramic veneers were cemented in the anterior. Feldspathic Veneers Near Me.
     
    
        From caugheydds.com 
                    Single Feldspathic Porcelain Veneer Elizabeth Caughey DDSElizabeth Feldspathic Veneers Near Me   our founder, erik nargizian, fabricates exceptional feldspathic veneers that are nearly indistinguishable from natural dentition.   a total of 170 feldspathic ceramic veneers were cemented in the anterior region, including 70 maxillary and 100 mandibular veneers, after.   feldspathic veneers tend to have a more natural, translucent appearance, while emax veneers have a slightly. 6,7 modern feldspathic veneers allow. Feldspathic Veneers Near Me.
     
    
        From www.inhousedentalstudio.com 
                    Case 14, Feldspathic porcelain veneers for teeth 6, 8, 9, and 11 In Feldspathic Veneers Near Me   as patients have begun requesting less invasive treatments and higher levels of esthetics, the use of feldspathic veneers is resurging.   feldspathic veneers tend to have a more natural, translucent appearance, while emax veneers have a slightly.  aesthetic dentistry feldspathic veneers, teeth whitening, invisalign, cerec sameday crown | deal with health and harmony This cosmetic solution is less.. Feldspathic Veneers Near Me.
     
    
        From www.inhousedentalstudio.com 
                    Case 8, Feldspathic Veneers Teeth 5 and 7 InHouse Dental Studio Feldspathic Veneers Near Me   aesthetic dentistry feldspathic veneers, teeth whitening, invisalign, cerec sameday crown | deal with health and harmony  our founder, erik nargizian, fabricates exceptional feldspathic veneers that are nearly indistinguishable from natural dentition.   feldspathic veneers tend to have a more natural, translucent appearance, while emax veneers have a slightly. This cosmetic solution is less.  as patients have begun. Feldspathic Veneers Near Me.
     
    
        From davincilab.com 
                    Gallery da Vinci Dental Studios Feldspathic Veneers Feldspathic Veneers Near Me    a total of 170 feldspathic ceramic veneers were cemented in the anterior region, including 70 maxillary and 100 mandibular veneers, after. 6,7 with this comes the desire for thinner veneers and preservation of natural tooth structure.  aesthetic dentistry feldspathic veneers, teeth whitening, invisalign, cerec sameday crown | deal with health and harmony This cosmetic solution is less. 6,7. Feldspathic Veneers Near Me.
     
    
        From www.atlasdental.ca 
                    Feldspathic Porcelain Veneers Atlas Dental, Toronto Dentist Feldspathic Veneers Near Me  6,7 with this comes the desire for thinner veneers and preservation of natural tooth structure.  our founder, erik nargizian, fabricates exceptional feldspathic veneers that are nearly indistinguishable from natural dentition. This cosmetic solution is less.  these veneers are made of feldspathic porcelain.   feldspathic veneers tend to have a more natural, translucent appearance, while emax veneers have a. Feldspathic Veneers Near Me.